É A MELHOR PLATAFORMA DE ESTUDO E AUTO-AVALIAÇÃO VINCULADA PARA MÉDICOS E ESTUDANTES DE MEDICINA
Escolher a tematica (coloca trÊs letras e depois escolhe a opÇÃo):
ASSISTE NOSSOS TUTORIAIS
PROCURAR QUESTÕES PELA PALAVRA CHAVE

RATING: 0 ![]()
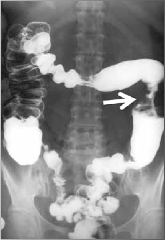
Homem, 65 anos de idade, com dor abdominal crônica em fossa ilíaca esquerda e constipação intestinal, refere febre, peritonismo no quadrante inferior esquerdo do abdome e piora da dor há uma semana. Relata ter se submetido à colonoscopia há um ano, durante o qual o endoscópio não ultrapassou o sigmóide. Abaixo o enema opaco do paciente.

A. diverticulite aguda; antibioticoterapia; avaliação radiográfica complementar
INCORRETO: Embora a diverticulite aguda possa mimetizar o quadro com dor esquerda, febre e peritonismo, a dor crônica prévia e a estenose sigmoide na colonoscopia sugerem processo obstrutivo neoplásico, não inflamatório agudo sobre divertículos, que tipicamente evolui subagudamente sem histórico de estenose crônica. O tratamento com antibioticoterapia isolada seria adequado para estágios Hinchey I-II não complicados, mas ignora a necessidade de ressecção em lesões estenosantes suspeitas; a avaliação radiográfica complementar é redundante após enema opaco e tomografia implícita, desviando do foco oncológico estabelecido em guidelines da ASCRS.
B. neoplasia colorretal; cirurgia; colonoscopia pós-operatória
CORRETO : A neoplasia colorretal, predominantemente adenocarcinoma do cólon sigmoide nesse contexto, representa o diagnóstico mais provável, alinhando-se aos elementos chave: dor abdominal crônica em fossa ilíaca esquerda associada a constipação intestinal progressiva, sugestiva de estenose tumoral obstrutiva, agravada por febre e peritonismo no quadrante inferior esquerdo há uma semana, indicando complicação aguda como microperfuração ou inflamação peritumoral. A colonoscopia prévia que não ultrapassou o sigmóide reforça a presença de lesão estenosante, comum em tumores anulares do cólon esquerdo, onde o crescimento endofítico leva a redução luminal e obstrução crônica, com incidência de 10-15% de apresentações obstrutivas em idosos acima de 60 anos, conforme dados de registros oncológicos como o SEER database. O enema opaco, exame contrastado que delineia o cólon, tipicamente revela estenose irregular com padrão 'em maçã mordida' ou dilatação proximal, confirmando a suspeita neoplásica e diferenciando de causas benignas. O tratamento cirúrgico é imperativo, envolvendo ressecção oncológica (colectomia segmentar com linfadenectomia) para remoção do tumor e alívio da obstrução, frequentemente com anastomose primária ou colostomia temporária em casos instáveis, reduzindo mortalidade perioperatória para <5% em centros especializados, conforme guidelines da American Society of Clinical Oncology (ASCO). O seguimento clínico pós-operatório inclui colonoscopia para vigilância de metástases sincrônicas ou recorrências, com intervalos iniciais de 1 ano e subsequentes a cada 3-5 anos, integrada a estadiamento TNM via tomografia e marcadores como CEA, otimizando sobrevida em 70-90% para estágios localizados. Séries prospectivas, como as publicadas no Journal of Clinical Oncology, validam essa tríade diagnóstica-terapêutica, enfatizando a urgência cirúrgica em complicações agudas para prevenir perfuração franca e sepse, com ênfase em rastreio endoscópico prévio para detecção precoce em populações de risco.
C. diverticulite aguda; cirurgia; uso de fibras e antiinflamatórios
INCORRETO : Essa opção falha ao atribuir cirurgia como tratamento primário para diverticulite, reservada a complicações graves (Hinchey III-IV) ou recorrências, enquanto o quadro crônico com estenose aponta para neoplasia, não inflamação diverticular aguda. O seguimento com fibras e antiinflamatórios visa prevenção de diverticulose não complicada, inadequado para suspeita oncológica, onde vigilância endoscópica é essencial; estudos como os do New England Journal of Medicine destacam que cirurgia em diverticulite é eletiva em 70% dos casos, contrastando com a urgência oncológica aqui.
D. neoplasia colorretal; radioterapia; colonoscopia
INCORRETO : Embora acerte o diagnóstico, erra no tratamento, pois radioterapia é adjuvante em tumores retais ou neoadjuvante em estágios avançados, não primária para lesões sigmoides obstrutivas, que demandam cirurgia inicial para alívio e estadiamento histológico. A colonoscopia como seguimento é apropriada, mas isolada não aborda quimioterapia potencial; protocolos da National Comprehensive Cancer Network (NCCN) priorizam ressecção cirúrgica em obstruções, reservando radioterapia para contextos específicos, tornando essa sequência terapêutica imprecisa.o.
E. doença inflamatória intestinal; imunossupressores; endoscopia de controle
INCORRETO : Doença inflamatória intestinal (como retocolite ulcerativa ou Crohn) manifesta diarreia mucossanguinolenta crônica ou fistulizações, não constipação obstrutiva com estenose sigmoide isolada, que sugere mais neoplasia estenosante. Imunossupressores tratam inflamação autoimune, ineficazes em tumores; endoscopia de controle é relevante, mas não como seguimento primário sem biópsia confirmatória; revisões no Gastroenterology journal diferenciam pela ausência de ulcerações difusas ou envolvimento multifocal, priorizando oncologia nesse perfil etário e sintomático
Gabarito: B
RATING: 3.02 ![]()
| Diferenciação laboratorial entre anemia ferropriva e a associada a doença crônica | ||
| Anemia Ferropriva | Anemia de Doença Crônica | |
| Ferro sérico | Diminuído | Diminuído |
| Ferritina | Diminuída | Normal ou elevada |
| TBIC | Elevada | Normal |
| Saturação de transferrina | Diminuída | Normal |
FONTE:
1) Esse quadro sugere risco de trombose venosa profunda (TVP)? Justifique.
Esse paciente apresenta risco intermediário para tromboembolismo venoso profundo por ter mais de 40 anos de idade e por ter de se submeter à cirurgia que pode ter duração igual ou superior a 60 minutos. (0,1 p)
2) Como deve ser realizada a profilaxia desse paciente, se houver risco de TVP?
Deverá ser submetido à quimioprofilaxia para TVP (0,05 p) com heparina de baixo peso molecular (HBPM) (0,05 p) ou heparina não fracionada (HNF) subcutânea (0,05 p), nas doses profiláticas baixas: HNF 5.000 UI a cada 12 h (0,05 p), enoxaparina 20 mg 1x ao dia (0,05 p), dalteparina 2.500 UI 1x ao dia (0,05 p) ou nadroparina (1.900 U se < 70 Kg ou 5.700 se > que 70 Kg) 1x ao dia, com duração de 7 a 10 dias (0,05 p). A primeira dose deverá ser administrada duas horas após a realização do bloqueio peridural (0,05 p).
Todos os direitos reservados. 2026.
A VITÓRIA É SOMENTE SUA! O CAMINHO É NOSSO!
O site misodor.com.br está online desde 04 de novembro de 2008
O nome, o logo e o site MISODOR são propriedade declarada do webmaster
Qualquer conteudo deste site pode ser integralmente ou parcialmente reproduzido, com a condição da menção da fonte.